高齢者に多い腕の痛み 「腱板損傷・断裂・亜脱臼」? ①
お知らせ
information
お知らせ
information

こんな症状、ありませんか?
•腕を上げようとすると痛い
•上げるのがとにかく大変
•腕が回らない
•髪を結う、帯を結ぶ動作がつらい
病院では
「年齢的によくある症状ですね」
「レントゲンでは異常ありません」
と説明され、湿布だけで様子見…
そんな経験をされた方も少なくありません。
今回のケース(80代女性)
•明確な外傷の記憶なし
•後から思い返すと、自宅で数回転倒していた可能性あり
•徐々に肩の痛みが強くなり、箸も持てない日が出現
病院を2か所受診し、どちらも
「レントゲン異常なし」「経過観察」
しかし、当院で改めて状態を確認すると
•肩の可動域は大きく制限
•動かすと強い運動痛
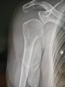
•画像上、上腕骨頭の位置異常(下方偏位)
この時点で、
腱板損傷・部分断裂、もしくは亜脱臼の可能性を強く疑いました。
病院ごとに診断が違うのはなぜ?
最終的に別の整形外科では
「肩の亜脱臼(高齢者によくある)」との診断。
ただし
•固定なし
•処置は湿布のみ
•「様子を見ましょう」
診断名は違っても、
実際の対応はどこもほぼ同じだった、というのが現実です。
患者さん・ご家族は
「断裂していないなら安心ですね」
と一度はホッとされました。
ただし・・・
痛みがあり、動かせない現実は変わっていません。
接骨院として、私たちができること
画像上の診断名に関わらず、
今、目の前で困っている動き・生活動作に向き合う。
当院では
•無理に肩を揉んだり動かしたりはしません
•首・肩甲骨・体幹の緊張を整え
•肩への負担を減らしながら、少しずつ動きを回復させていきます
高齢の方の場合、
「若い頃と全く同じように上がる」
ことを目標にするのは現実的ではない場合もあります。
しかし
日常生活に支障が出ない状態まで回復させることは、十分に可能です。
回復の目安(あくまで一例)
•動かした時の痛みが落ち着くまで:
1.5〜2か月前後
•可動域の改善:
3〜6か月
(通院日数、セルフケアの実施状況により前後します)
「様子を見る」しかないと言われた方へ
✔ レントゲンでは異常なし
✔ 年齢のせいと言われた
✔ でも、生活はつらいまま
そんな時こそ、
一度、体全体の状態から確認する視点も大切です。
診断名よりも、
「今、何ができなくて困っているのか」
そこを一緒に整理し、対応していきます。
続きは、また次回。
(経過と実際の回復過程についてお伝えします)
草加市たけし接骨院
「やさしい整体 × 動作の再教育」で
年齢に合わせた“無理のない回復”を大切にしています。

